2个半月前,我院为一重度颅脑损伤患者实施颅内血肿清除+去颅骨瓣减压术,术后2月,成功实施颅骨缺损修补手术,患者恢复良好,近日已顺利出院,这是我院实施的首例颅骨缺损修补手术。
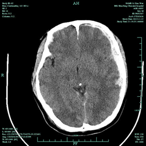
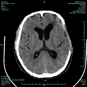
2015年11月12日,49岁的李先生在工地干活时不慎从高处坠落,致头部受伤,当时情况危急,由120送至我院,查头颅CT提示颅内广泛硬膜下出血、脑挫伤、脑疝形成,属于重度颅脑损伤,生命危急。我院神经外科王风永主任当机立断,在全麻下给患者施行左侧额颞顶硬膜下血肿清除+去颅骨瓣减压术,手术顺利。术后在ICU及十二病区全体医护人员的精心治疗和护理下,患者逐渐康复,语言表达、肢体活动、生活自理方面均恢复良好,术后一月顺利出院,并建议患者在家修养一段时间后,尽早返院再行颅骨缺损修补手术。
去颅骨瓣减压术主要用于治疗重度颅脑损伤引起的严重脑水肿、弥漫性脑肿胀、恶性高颅压,对患者术后的恢复起到了至关重要的作用,但在恢复期会导致大脑代谢紊乱及潜在的脑组织功能损害,不仅影响美观,更会引发一系列的神经症状。早期施行颅骨修补术,有利于建立正常的颅压系统,恢复患者颅腔生理完整性,提高患者生活质量,不仅在视觉上恢复了头颅的完整性,而且对于患者多了一份“安全感”。
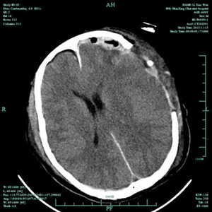
术后2月,患者再次入院,在家属的殷切期望下,我院神经外科积极完善术前准备,排除手术禁忌,于2016年1月14日,在全麻下为患者施行了“颅骨缺损修补术”,置入由计算机预先定制的个体化三维钛网,手术顺利。在十二病区医护的精心照护下,患者恢复顺利,基本恢复了原来的面貌,满意出院。
这是我院施行的首例颅骨缺损修补手术,在王风永主任的带领下,我院神经外科逐渐成长,对于急性颅脑损伤患者的急救及康复治疗正日益成熟。

受伤术前

受伤术后

修补术前 修补术后










