术后查房时,王女士激动地与傅杰副主任医师分享喜悦:“傅医师,我感觉眼睛好多了,往上往下都能转啦!太感谢你啦!”看到患者术后眼球转动灵活自如,傅医师也由衷地为王女士感到高兴。
日前,王女士不幸遭遇车祸,头面部、双腕、膝部撞伤,被紧急送往绍兴市中医院急诊外科。生命体征平稳后,王女士发现自己的左眼往里凹陷,不能自由转动,看东西还有两个影子!这让王女士感觉非常难受。

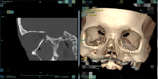
眼科诊疗组长傅杰副主任医师紧急前往会诊,王女士左眼眶周肿胀青紫,眶区凹陷约4mm,眼球上下转动受限,双眼复视明显,眼眶CT提示左眼眶下壁内壁骨折,下直肌嵌顿,上颌窦前壁骨折,鼻骨骨折。
“是左眼眶骨骨折,”傅杰副主任医师做出诊断,“眼球不能动、重影都是眼眶骨骨折引起的,不要紧张,手术都可以解决。”并与王女士及家属详细解释了手术计划。


麻醉医师协助将患者进行全身麻醉后,傅杰带领团队为患者下睑做平行睑缘切口,暴露骨折部位,去除碎骨片及瘀血,解除嵌顿的下直肌,复位骨折部位,并用钛钉和钛板进行固定,小心缝合切口。



术后,王女士的左眼不再凹陷,也能自由活动了,视物不再重影,疤痕也不明显!复查眼眶CT显示骨折复位良好,下直肌未见明显嵌顿。
眼眶骨折容易导致眼球内陷、偏斜、眼球运动障碍以及复视等症状,通过手术结合钛网、钛钉等材料进行骨折复位,解决上述问题,傅杰副主任医师团队多次成功完成高难度四级眼眶手术,在眶骨骨折手术治疗方面已积累丰富经验,患者满意度高。










